Caries dental en los niños

Qué es la caries dental en los niños

MIE
15
JUL

Profesor Manuel Restrepo R. Universidad CES

Qué es la caries dental en los niños

¿Qué es la caries dental en niños?

La caries dental actualmente es considerada como una enfermedad crónica no transmisible, no infecciosa y asociada a la placa dentobacteriana y a los azúcares (especialmente a la sacarosa o azúcar de cocina).

¿Cuáles son las causas de la caries dental?
El consumo frecuente de azúcares a partir de panela, achocolatados, galletas, gomas, tortas, gaseosas, jugos artificiales en botella o en cajita y snacks, sumados a prácticas de higiene bucal insuficientes o inadecuadas se relacionan directamente con caries dental. Estos hábitos favorecen el acúmulo de placa dentobacteriana sobre los dientes y hace que con el tiempo se desarrollen lesiones de caries dental. Por otro lado, existen grupos especiales que tienden a desarrollar más facilmente lesiones de caries dental, como por ejemplo: bebés entre los 12 y 30 meses (conocida como caries del biberón, caries rampante o caries de la infancia temprana); niños entre los 6-7 años de edad (tiempo en el que aparece el primer molar permanente o la muela de los 6 años); pacientes con ortodoncia o aparatología ortopédica fija o removible; pacientes que sufren de “boca seca” asociado a medicamentos, enfermedades o radicación en cabeza y cuello; pacientes con necesidades especiales y pacientes con dificultades motoras. La caries dental no solo afecta al esmalte dental, sino también a la dentina, al cemento y en consecuencia, a la raíz de los dientes.
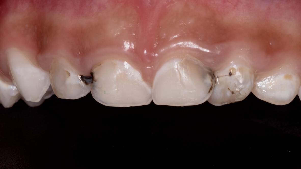
Presencia de lesiones de caries dental en los dientes de leche.
¿Cuáles son los síntomas de la caries dental?
Las lesiones de caries dental son el reflejo de la enfermedad caries dental, y el primer signo clínico en los dientes son unas manchas blancas, opacas y rugosas que se desarrollan en las superficies de los dientes donde se acumula placa dentobacteriana con mayor facilidad, es decir, en las muelas, entre una muela y otra, o en la parte de adelante de los dientes cerca de la encía. Este tipo de lesión generalmente no produce dolor, pero requiere control por parte del odontopeditra. Cuando este tipo de lesiones avanzan, pueden afectar el esmalte y a la dentina y generar dolor provocado al consumir alimentos o bebidas, y en casos más severos, puede afectar el nervio del diente y haber dolor expontáneo.

Imagen: diente de leche con lesión de caries y absceso periodontal por caries dental

Esta situación se puede complicar aún más cuando hay inflamación y presencia de abscesos. Es importante señalar que en los dientes de leche la progresión de lesiones de caries dental es más rápida que en los permanentes debido a la composición y estructura de este tipo de dientes.

¿Cuáles son los tratamientos?
Para un tratamiento adecuado, es necesario que se identifique el riesgo del paciente (procedimiento realizado por el odontopediatra en la consulta odontológica) y se realice un examen clínico cuidadoso y detallado. En algunos casos, puede ser necesario complementarlo con una radiografia. Dependiendo de las características individuales del diente y del paciente, el odontopediatra propondrá las opciones de tratamiento. Como principio básico para controlar caries dental, debe haber un adecuado control de placa dentobacteriana, uso de crema dental con fluoruro y una dieta baja en azúcares. Actualmente, los tratamientos para la caries dental son menos invasivos, no dolorosos y efectivos. Entre las opciones se pueden mencionar: remineralización, uso de sellantes, restauraciones terapéuticas temporales, selle/aislamiento de lesiones, resturaciones adhesivas, entre otros. Caso haya compromiso del nervio, será necesario realizar procedimientos más invasivos y complejos, que requieren restauraciones específicas.

Presencia de lesiones de caries dental en muelas de leche
¿Y sobre el uso de cremas dentales con fluoruro en niños?
El fluoruro ha demostrado ser un agente altamente efectivo para el control de caries dental y su efecto cariostático es tópico, es decir, en contacto con el diente/placa bacteriana. Diferentes asociaciones odontológicas en el mundo, como la Academia Europea de Odontología Pediátrica, la Academia Americana de Odontología Pediátrica y la Asociación Latinoamericana de Odontopediatría recomiendan el uso de cremas dental con flururo con por lo menos 1,000 ppm de flururo (esta información se encuentra disponible en la parte trasera de las cremas dentales y se expresa como ppm F). Se recomienda que bebés con por lo menos un diente y hasta los dos años usen crema dental con 1,000 ppm F, dos veces al día, equivalente a un granito de arroz crudo. Niños entre los 2 y 6 años pueden usar cremas dentales con por lo menos 1,000 ppm F dos veces al día equivalente a una arveja (la concentración puede aumentarse dependiendo del riesgo individual, determinado por el odontopediatra). Niños mayores de 6 años deben usar cremas dentales con 1,450 ppm F dos veces al día.

Recomendaciones para evitar la caries dental en los niños
– Reducir el consumo de azúcares. Esto hará bien a la salud.
– Consumir alimentos ricos en calcio como leche y queso.
– El hábito del cepillado dental en los niños es responsabilidad de los papás y debe iniciar desde que aparece el primer diente de leche en boca. Se recomienda que los padres supervisen a sus hijos hasta los 12 años de edad.
– Hacer uso de crema dental con fluoruro. Es fundamental que se consulte al odontopediatra para recibir las indicaciones y recomendaciones específicas.
– El cepillado dental debe hacerse por lo menos dos veces al día.
– Se les debe enseñar a los niños a escupir y no tragarse la crema de dientes.
– Después de cepillarse lo dientes, evitar enjuaguar la boca. Esto ayuda a maximizar el efecto tópico del fluoruro; “escupir, no enjuagar”, ese el secreto.
– Motivar al niño a cepillarse los dientes, asociándolo a algo divertido dentro de la rutina en la casa, como por ejemplo, haciendo uso un cepillo dental con colores llamativos.
– El uso de enjuague bucal debe ser recomendado por el odontopediatra.
– Cepillos eléctricos son más efectivos que cepillos manuales para reducir placa bacteriana.
– No toda mancha en los dientes es caries dental. Es necesario que el odontólogo realice el diagnóstico diferencial para que así pueda ser implementado el tratamiento correcto.
– Consulte frecuentemente al odontólogo pediatra. No adopte “medidas caseras” para “curar” lesiones de caries dental. Puede que la cura salga más cara que la enfermedad.

[kiwi-social-bar id="4006"]
← Anterior

Enviar comentario

Tu dirección de correo electrónico no será publicada. Los campos obligatorios están marcados con *

Más populares

Caries-dental-en-los-niños

Caries dental en los niños

Leer
defectos del esmalte en odontopediatria

Defectos del esmalte una realidad en odontopediatria

Leer
La-gingivitis-en-los-ninos-acop

La gingivitis en los niños

Leer

Somos ACOP:

La academia colombiana de odontología pediátrica, ACOP es una asociación de personas sin ánimo de lucro, y cuyo interés social radica en las áreas del ejercicio profesional, la educación y/o la investigación, relacionadas con la especialidad de la odontología pediátrica para el beneficio de la salud oral de la población a través de los esfuerzos de la profesión odontológica.

Logo ACOP
Logo ALOP

Información de contacto

(57) 317 6654728
Calle 112 # 14 - 65 Oficina 205
Bogotá, Colombia

Hacemos parte de:

© 2026 ACOP - Academia Colombiana de Odontología Pediátrica. Todos los derechos reservados.