Defectos del esmalte una realidad en odontopediatria

Defectos del esmalte una realidad en Odontopediatria

MIE

29
JUL

Dr. Juan Diego Mejía R. Odontopediatra CES, Magister en Ciencias Odontológicas

Defectos del esmalte una realidad en Odontopediatria

¿Cuáles son los defectos del esmalte en los niños?

Los defectos del esmalte son los daños en el diente ocurrido cuando este se esta formando en sus diferentes etapas.
Durante la formación del diente, en especial el esmalte, pueden ocurrir algo para que este tejido no se forme adecuadamente ya sea por un factor local o genético.

Las posibles causas para los defectos del esmalte son muchas, van desde cambios de temperatura, consumo de medicamentos, traumas, infecciones entre otras convirtiendo los antecedentes médicos en una herramienta importante.

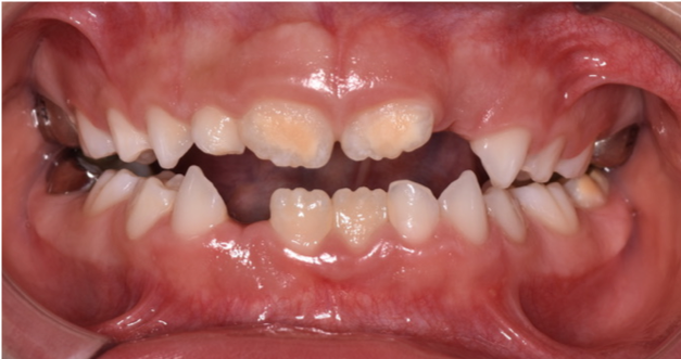
Amelogénesis imperfecta
Foto: Escobar A.

La presentación y la gravedad de DDE dependen de la etapa de desarrollo del esmalte en el momento del insulto, así como del alcance y la duración de la condición adversa.

 

 

Hipoplasias
Foto: Mejia JD, Restrepo M

Los defectos de la cantidad del esmalte (cuantitativos), que generalmente se dan por las interrupciones de la formación de la parte que forma el esmalte (matriz), se conocen como hipoplasia del esmalte y pueden verse como hoyos, surcos y esmalte delgado o ausente. Por el contrario, las deficiencias en la calidad del esmalte (cualitativas) generalmente están asociadas con una alteracion en la mineralización del esmalte y pueden verse como cambios en la translucidez u opacidad del esmalte que pueden ser difusos o demarcados, y de color blanco, amarillo o marrón. En general, se cree que a más inmadura esta la etapa de formación del esmalte, más vulnerable al daño. Las perturbaciones que ocurren durante las etapas secretoras (etapa donde se agrupan las proteinas del esmalte) reducen la cantidad de esmalte formado, esto puede producir una hipoplasia del esmalte. Las alteraciones en las etapas finales son asociadas con una alteración de la mineralización del esmalte que se puede ver clínicamente como opacidades. Los dientes primarios en la boca de un niño pueden estar en diferentes etapas de formación del esmalte en el momento de una afección, un solo insulto puede generar un, que va desde opacidades leves hasta hipoplasia severa del esmalte.

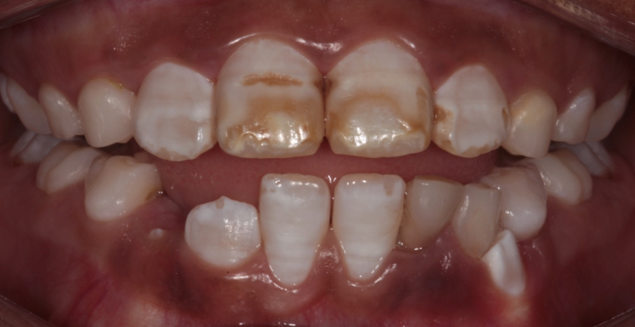
Hipomineralización Molar Incisivo
Foto: Mejia JD, Restrepo M

La prevalencia de los defectos del esmalte es variable en el mundo y en latinoamerica por ejemplo la hipomineralizaciones molares Incisivo en colombia es de 11.3% (Mejia JD,Restrepo M. 2019) comparado con el 19% en Brazil, la fluorosis en Colombia (Ensab IV.2013-2014) es de 8.43% en niños de 5 años, 62.15% en niños de 12 años y 56% en niños de 15, la prevalencia de caries (Ensab IV. 2013-2014) con el indice que tiene en cuenta las lesiones de  manchas blancas es de 77.47% en niós de 3 años, 82.6% en niós de 5 años y 89.1% en niños de 12 años.

Esta condicion se caracteriza por opacidades que van de blanco a marron, fracturas del esmalte despues de erupcionar los dientes, restauraciones (Calzas) defectuosas, perdida de dientes, su compromiso estetico y la gran sensibilidad son las causas de consulta mas frecuentes, es una condicion que existe hace muchos años pero no ha sido bien diagnosticada lo que h dificultdo su correcto tratamiento, los odontopediatras somos los especialistas expertos en esta condicion cada vez mas frecuente en nuestra practica que pone a prueba nuestra habilidad para tratarla.

Clínicamente, los defectos del esmalte pueden variar mucho en su apariencia en términos de tamaño, color y forma. Pueden afectar tanto a la dentición decidua como la permanente y puede generalizarse en las dos denticiones  o localizarse en dientes específicos. La estructura del esmalte en los dientes afectados cambia, de forma que puede haber una reducción en la cantidad del esmalte (conocida como hipoplasia) o un defecto en la calidad de este (conocido como hipomineralización), frecuentemente los defectos son una combinación de ambos. La amelo y dentino genesis imperfecta son defectos del esmalte y-o dentina de componente genetico generalmente ligados al cromosoma X, suele transmitirlo el hombre y sufrirlo la mujer, se caracterizan por la formacion imperfecta de estos tejidos en el momento de su formacion, su compromizo estetico son la principal causa de consulta ademas de la alta sensibilidad por la falta de formacion de estos tejidos protectores de el diente, requiere de un oportuno diagnostico para planear un tratamiento interdiciplinario con diferentes especialidades.

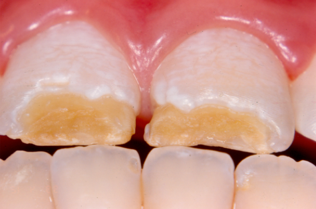
Fluorosis dental
Foto: Mejia JD, Restrepo M

La fluorosis dental es un tipo de defecto del esmalte que deben de diferenciarse de otros tipos de manchas blancas, se produce por un consumo excesivo de fluoruro causando unas manchas en el esmalte de los dientes que no causan dolor, pero se ve comprometida la estética y por consiguiente la autoestima del paciente.  Los fluoruros están científicamente comprobados para la prevención de la caries dental y la remineralización de las lesiones de manchas blancas su suministro dependerá de el riesgo de caries de cada paciente donde dependiendo de este análisis un niño podrá usar cremas con, flúor, barnices o geles según el Odontopediatra lo considere basado en el riesgo individual de cada niño donde todas las medidas son útiles pero deben de ser todas juntas, suspender biberón, ingesta de alimentos azucarados, frecuencia de cepillado y visitas periódicas al Odontopediatra profesional idóneo para manejar las dosis terapéuticas del flúor y no las toxicas evitando una fluorosis.

Las lesiones de caries iniciales conocidas como lesiones de mancha blanca son muy comunes en los niños con alto riesgo de caries, se dan por el acumulo de biopelicula (placa bacteriana) principalmente en el surco entre el diente y la encía, pueden ser confundidas con defectos del esmalte, pero a diferencia de estos la causa no se da en la formación del diente si no por falta de una correcta higiene bucal.

Fluorosis dental
Foto: Mejia JD, Restrepo M

El tratamiento de los dientes  afectados por defectos del esmalte suele necesitar múltiples intervenciones durante la infancia y la adolescencia lo cual genera niveles más altos de ansiedad y estrés en la cita odontológica, teniendo un impacto negativo en la calidad de vida del niño. Los padres pueden reportar que el niño come mas lento y a veces relata dolor.

La sensibilidad excesiva en los dientes lo cual repercute en la frecuencia y la calidad del cepillado y la baja en la autoestima por causa de la apariencia de los defectos del esmalte que comprometen la parte estética del niño y su socialización.

La dificultad en el tratamiento de algunas de estas condiciones radica en el mal diagnostico lo que dificulta el tratamiento ya que algunas condiciones tienen dificultades para los procedimientos restauradores basados en sistemas adhesivos.

Por eso los padres deben de consultar al Odontopediatra a tiempo ya que es el especialista idóneo para hacer un diagnostico acertado y oportuno del defecto del esmalte o la lesión inicial de caries(mancha blanca) para tomar la mejor decisión de tratamiento buscando el mejor costo beneficio y el bien estar del niño para que no se afecte su vida cotidiana.

 El pronóstico y el éxito del tratamiento serán mas eficaces con un diagnóstico adecuado, eso mejora la calidad de vida del niño, su autoestima  y genera mas tranquilidad a los padres.

El tratamiento integral del niño es fundamental por que posiblemente el motivo de consulta es el defecto del esmalte pero no se debe de descuidar el tratamiento integral por que de su crecimiento y desarrollo dependerá el tratamiento elegido.

[kiwi-social-bar id="4006"]
← Anterior

Enviar comentario

Tu dirección de correo electrónico no será publicada. Los campos obligatorios están marcados con *

Más populares

Caries-dental-en-los-niños

Caries dental en los niños

Leer
defectos del esmalte en odontopediatria

Defectos del esmalte una realidad en odontopediatria

Leer
La-gingivitis-en-los-ninos-acop

La gingivitis en los niños

Leer

Somos ACOP:

La academia colombiana de odontología pediátrica, ACOP es una asociación de personas sin ánimo de lucro, y cuyo interés social radica en las áreas del ejercicio profesional, la educación y/o la investigación, relacionadas con la especialidad de la odontología pediátrica para el beneficio de la salud oral de la población a través de los esfuerzos de la profesión odontológica.

Logo ACOP
Logo ALOP

Información de contacto

(57) 317 6654728
Calle 112 # 14 - 65 Oficina 205
Bogotá, Colombia

Hacemos parte de:

© 2026 ACOP - Academia Colombiana de Odontología Pediátrica. Todos los derechos reservados.